For emergency cases: 050 373 4132 Monday - Sunday : 9:00am - 8:00pm

Safe & Affordable
Dental Extractions
Limited Time Offer!
@99 AED

Safely remove damaged or problematic teeth and maintain
your oral health with professional Dental Extractions in Dubai.
Cosmocare Medical Center

Professional Dental Extractions in Dubai

Tooth Extraction Cosmocare Dubai

What are Dental Extractions?

Dental extractions are professional procedures to safely remove damaged, decayed, or problematic teeth. They help prevent infections, improve oral health, and maintain proper bite alignment.

Performed by expert dentists, extractions are minimally invasive and suitable for adults of all ages. The procedure ensures long-term oral health and prevents complications caused by unhealthy teeth.

Who Needs Dental Extractions?

Extractions are recommended for teeth that are severely decayed, infected, or causing crowding. They are also suggested for patients preparing for orthodontic treatment or other dental procedures.

  • Prevents further dental issues or infections.
  • Maintains a healthy bite and jaw alignment.
  • Supports overall oral hygiene and health.
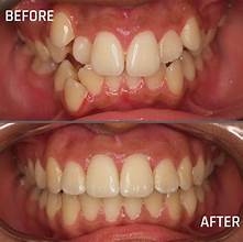
Dental Extractions

Before and After

Tooth Extraction Before and After
Tooth Extraction Before and After
Cosmocare Medical Center

Why Choose Us

blog1
blog1
blog1
Meet Our Dentist

Dr. Lavanya George

veneers specialist appointment

Dr. Lavanya George graduated from Dr. M.G.R Medical University Chennai, Tamil Nadu, India in the year 2000. She has worked in Chennai and Dubai as General Dentist since then she has extensive experience in Preventive, Restorative, and Aesthetic Dentistry.

Highly experienced dentist Over 10 Years Practice, has helped hundreds of patients achieve the confidence they deserve through customized treatments.

Dedicated dental professional with proficiency in and Empathetic communication with patients and a Commitment to enhancing patient care. Excellence in Providing all types of dental work from cosmetic Dentistry to Extractions, Restorations, Root canal treatments, Dental implants, Minor surgeries and Gum treatments along with Teeth whitening through Innovative dental solutions and continuous Professional development

  • Expert in comprehensive dental care for all age groups
  • Skilled in preventive, restorative, and cosmetic dentistry
  • Utilized advanced technology for precise diagnostics
  • Trained in the latest dental techniques and innovations
  • Dr. Lavanya George graduated from Dr. M.G.R Medical University Chennai, Tamil Nadu, India in the year 2000. And a masters degree from university of London.
Contact us

Contact us for any dental
treatment